Protetică dentară București - Ideal Dental

Când un dinte este slăbit, fracturat sau lipsă, ai nevoie de o soluție stabilă și corect realizată. Folosim scanare intraorală, amprentare digitală, tehnologie CAD-CAM și materiale moderne pentru coroane și lucrări precise, adaptate exact mușcăturii tale.

Adresă: Str. Teodosie Rudeanu 35, Sector 1, București

Contact: 0722.535.666 | idealdental.rudeanu@gmail.com

Program: Luni - Vineri: 09:00 - 20:00

Adresă: Str. Teodosie Rudeanu 35, Sector 1, București

Contact: 0722.535.666 | idealdental.rudeanu@gmail.com

Program: Luni - Vineri: 09:00 - 20:00

Ce este protetica dentară?

Tratament protetică dentară

Protetica dentară se ocupă cu refacerea dinților prea afectați pentru a putea fi tratați printr-o simplă obturație și cu înlocuirea celor care lipsesc. Practic, se folosesc coroane, punți sau proteze pentru a reconstrui structurile pierdute și pentru a reda funcția normală în masticație.

Tratamentul începe cu o evaluare clinică realizată de medicii noștri specialiști, care stabilesc ce dinți pot fi păstrați și ce zone au nevoie de înlocuire. 

Urmează pregătirea locală și scanarea digitală, prin care obținem date exacte despre forma și poziția dinților.

Pe baza acestor informații, lucrarea este proiectată și realizată astfel încât să se integreze corect în mușcătură și să asigure o funcție stabilă.

Protetica are rolul de a restabili funcția normală atunci când un dinte lipsește sau este distrus. Lucrările bine adaptate:

  • stabilizează mușcătura;
  • protejează dinții sănătoși;
  • previn migrarea dinților vecini;
  • reduc suprasolicitarea articulației;
  • permit masticația și pronunția corectă a cuvintelor.
Tratament protetică dentară

Când sunt indicate lucrările protetice

Știm că problemele dentare pot aduce disconfort și limitări în viața de zi cu zi. În anumite situații, lucrările protetice sunt soluția corectă pentru a reda stabilitatea și funcția dinților. Iată când sunt recomandate:

Ai unul sau mai mulți dinți lipsă care trebuie înlocuiți.

Ai dinți fracturați, fisurați sau cu plombe extinse care nu mai pot fi salvați conservator.

Te confrunți cu uzură accentuată a dinților și ai nevoie de refacerea formei și funcției.

Porți lucrări dentare vechi, instabile sau care nu se mai potrivesc corect.

Întâmpini dificultăți la mestecat din cauza dinților compromiși sau lipsă.

Ai un dinte tratat endodontic care necesită acoperire pentru a preveni fracturarea.

Coroane dentare

Coroane dentare din zirconiu

Coroanele dentare sunt piese protetice care acoperă complet un dinte afectat, oferindu-i formă, rezistență și protecție pe termen lung. Se recomandă atunci când structura dentară este prea distrusă pentru a fi refăcută printr-o obturație.

Sunt realizate din ceramică, zirconiu sau combinații de materiale, adaptate atât pentru dinții din față, cât și pentru cei posteriori.Se folosesc atunci când dintele este fracturat, are o plombă foarte mare, prezintă uzură sau a fost tratat endodontic.

Coroane dentare din zirconiu
Fațete dentare din zirconiu

Fațete dentare

Fațete dentare din zirconiu

Fațetele dentare sunt foițe subțiri din ceramică sau compozit aplicate pe fața vizibilă a dinților frontali. Sunt folosite atunci când vrei să corectezi pete, fisuri fine, diferențe mici de aliniere sau variații de formă și mărime.

Procedura este minim invazivă, păstrează structura dentară și oferă un aspect uniform și natural. Aplicarea este rapidă, iar rezultatul aduce o îmbunătățire vizibilă a esteticii fără intervenții complexe.

Punți dentare

Punte dentară din zirconiu

Puntea dentară este o soluție folosită pentru a înlocui dinții lipsă atunci când dinții vecini sunt suficient de sănătoși pentru a susține lucrarea. Aceștia devin puncte de sprijin, iar puntea completează spațiul liber, restabilind continuitatea arcadei și funcția în masticație.

Materialele moderne folosite pentru punți:

  • metalo-ceramica: rezistentă, ideală pentru zonele laterale;
  • ceramica integrală: estetică, recomandată în zona frontală;
  • zirconiu: durabil, cu aspect natural și translucență similară dinților.
Punte dentară din zirconiu
Coroană zirconiu pe implant

Lucrări protetice pe implanturi

Coroană zirconiu pe implant

Lucrările protetice pe implanturi sunt soluții fixe folosite pentru a înlocui dinții lipsă atunci când implanturile dentare pot servi drept suport. Acestea se fixează stabil pe implanturile inserate în os și permit restaurarea unei funcții normale în masticație.

În funcție de numărul de implanturi și de zona de tratament, lucrările pot fi:

  • coroane individuale
  • punți dentare 
  • proteze fixe pentru întreaga arcadă.

Incrustații dentare

Incrustații dentare

Incrustațiile dentare sunt o alternativă modernă și rezistentă la plomba obișnuită, folosite atunci când o parte mai mare a dintelui este afectată. Sunt piese protetice realizate din ceramică, concepute să refacă forma dintelui și să restabilească punctele corecte de contact cu dinții vecini, fără a afecta țesuturile din jur.

Incrustații dentare
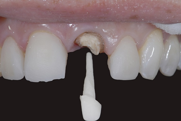
Dispozitiv corono-radicular

Dispozitivul corono-radicular

Dispozitiv corono-radicular

Dispozitivul corono-radicular este folosit pentru a reconstrui baza unui dinte atunci când coroana naturală este prea afectată pentru a susține o lucrare. Este recomandat în special după tratamente endodontice sau în situațiile în care dintele are puțină structură rămasă.

Prin acest dispozitiv se obține un bont stabil, pe care poate fi ulterior aplicată o coroană dentară.

Proteze dentare

Proteză dentară mobilă

Protezele dentare sunt soluții prin care înlocuim dinții pierduți și redăm funcția normală în vorbire și masticație. Te ajută să pronunți mai ușor, să mesteci fără disconfort și să ai un aspect armonios.

Există mai multe tipuri de proteze, în funcție de nevoile fiecărui pacient:

  • parțiale sau totale, pentru înlocuirea unuia sau tuturor dinților;
  • mobile, ușor de scos și de igienizat;
  • mobilizabile, sprijinite pe dinți sau sisteme speciale (ex.: proteze scheletate, proteze cu capse);
  • fixe pe implanturi, pentru stabilitate maximă.
Proteză dentară mobilă

Listă prețuri protetică dentară

Coroană provizorie din compozit 250 Lei
Coroană provizorie frezată CAD-CAM 2.000 Lei
Coroană metalo-ceramică pe dinte 1.500 Lei
Coroană metalo-ceramică fizionomică pe implant 1.500 Lei
Coroană ceramică presată Emax pe dinte 2.000 Lei
Coroană ceramică presată Emax pe implant 2.000 Lei
Coroană zirconiu pe dinte 2.000 Lei
Coroană zirconiu pe implant 2.000 Lei
Fațetă ceramică Emax Empress 2.000 Lei
All-on-4 lucrare provizorie (o arcadă) 15.400 Lei
All-on-6 lucrare provizorie (o arcadă) 20.600 Lei
Proteza acrilică pe implanturi 2.000 Lei
Proteza totală cu schelet metalic pe implanturi 4.500 Lei
RCR metalic 380 Lei
RCR fibră de sticlă 380 Lei
RCR Zirconiu 900 Lei
Proteza totală cu dinți din compozit 3.000 Lei
Proteza parțială acrilică 1–7 dinți 2.000 Lei
Proteza parțială acrilică 8–14 dinți / totală 2.000 Lei
Proteza scheletată cu croșete turnate 4.100 Lei
Proteza scheletată cu sisteme speciale (culise, capse, telescoape) 4.800 Lei
Proteza specială Ancovis 3.500 Lei
Sisteme speciale RCR cu capsa 600 Lei
Proteza flexibilă 3.000 Lei
Proteza parțială / totală provizorie 2.000 Lei
Ce spun pacienții noștri despre noi

Specialiști în restaurări și protetică dentară

Dr. Ramona Hirbu
Medic Specialist Stomatologie Generală
Dr. Matei Traistariu
Medic Specialist Chirurgie Orală
Dr. Laura Vlădescu
Medic Specialist Parodontologie
Dr. Alexandra Haiduc
Medic Specialist Endodonție

Întrebări și răspunsuri despre protetică dentară

Întrebări și răspunsuri despre protetică dentară

Cele mai frecvente cauze sunt:

  • carii profunde, netratate, care distrug structura dintelui;
  • traumatismele dentare, precum lovituri sau accidente;
  • boala parodontală, care afectează gingiile și țesuturile de susținere;
  • uzura naturală sau înaintarea în vârstă, care slăbesc rezistența dentară;
  • obiceiuri nocive, cum ar fi fumatul și igiena orală precară.

Pentru lucrările protetice folosim materiale moderne, sigure și durabile, alese în funcție de zona tratată și nevoile fiecărui pacient. Cele mai utilizate sunt:

  • ceramica integrală: estetică foarte bună, ideală pentru zona frontală;
  • zirconiul: rezistență mare și aspect natural, potrivit atât în față, cât și în zonele laterale;
  • metalo-ceramica: variantă robustă, recomandată în special pentru dinții posteriori;
  • compozitul: folosit în situații specifice, pentru lucrări provizorii sau soluții conservatoare.
  • restabilirea funcției masticatorii, astfel încât să poți mânca normal;
  • stabilizarea mușcăturii și distribuirea corectă a forțelor;
  • protejarea dinților sănătoși, care altfel ar fi suprasolicitați;
  • prevenirea migrării dinților vecini și a dezechilibrelor dentare;
  • îmbunătățirea vorbirii, atunci când lipsa dinților o afectează;
  • un aspect natural și o integrare armonioasă în dantură.

Lucrările protetice se mențin în stare bună printr-o igienă orală constantă și vizite regulate la medic. Periajul corect, folosirea aței dentare sau a dușului bucal și curățarea atentă a zonei de la marginea coroanei previn acumularea plăcii. De asemenea, este importantă evitarea alimentelor foarte dure și purtarea protezelor conform recomandărilor medicului. Controalele periodice permit verificarea adaptării și depistarea din timp a eventualelor probleme.

Durata depinde de tipul lucrării și de complexitatea cazului. În general, o lucrare protetică se realizează în câteva zile până la câteva săptămâni, timp în care sunt necesare etape precum pregătirea dintelui, scanarea digitală, realizarea lucrării în laborator și adaptarea finală în cabinet. Medicii stabilesc durata exactă în funcție de situația clinică și de materialele folosite.

Întrebări și răspunsuri despre protetică dentară
Contact Ideal Dental
Protetică Dentară București
Programare online

    Logo Ideal Dental Clinic